熊本市東区で歯のホワイトニングと言えばしまむら歯科口腔クリニック
- ホーム
- ホワイトニング・フェイシャルエステ
目次
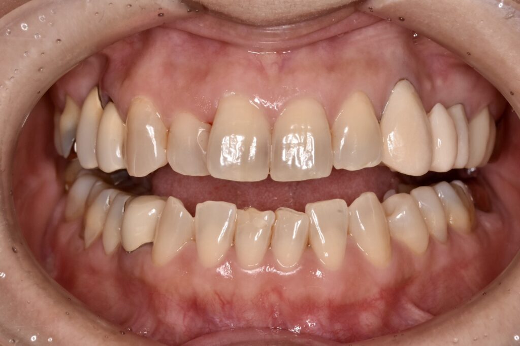
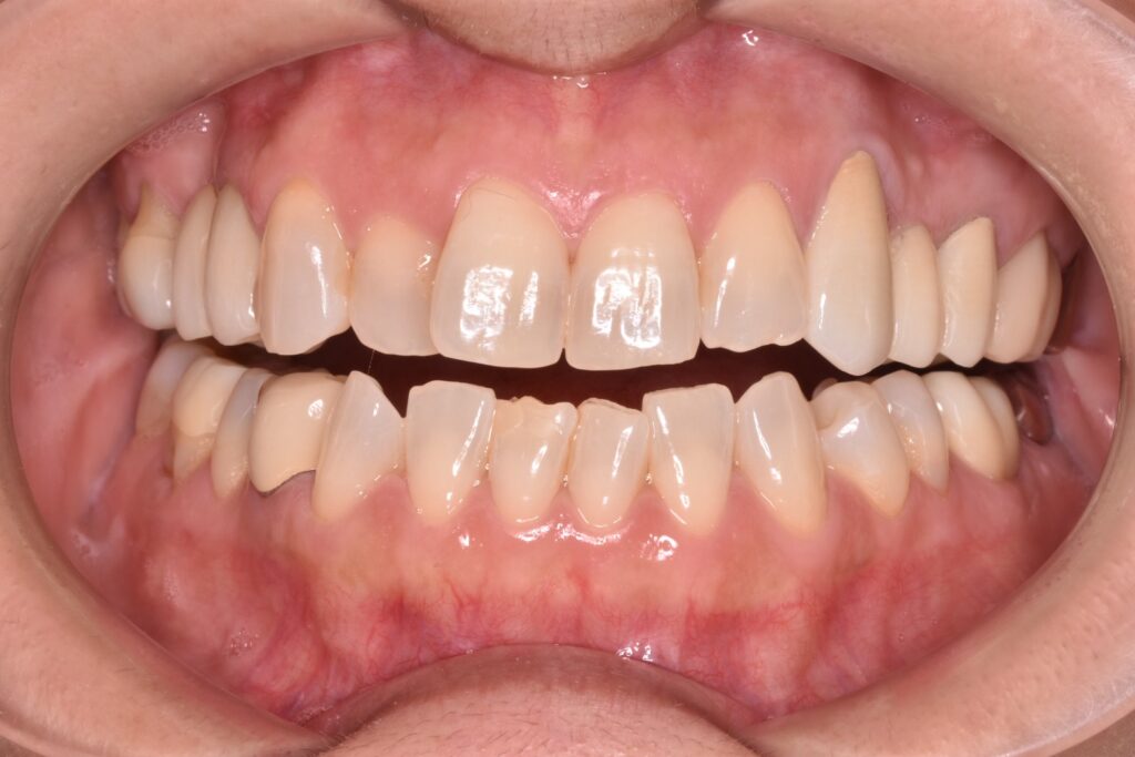
歯科のホワイトニングとは
歯科医院で行うホワイトニングは、歯そのものの色調を内側から明るく変化させていく医療行為です。
食事や加齢、喫煙などによって歯の内部にまで沈着してしまった色素分子を、医療用のホワイトニング剤を使って分解・無色化。歯を削ったり傷つけたりすることなく、ご自身の歯が本来持っている自然で透明感のある白さを引き出すことを目指します。
当院では、院内で集中的に処置する「オフィスホワイトニング」、ご自宅でじっくり取り組む「ホームホワイトニング」、両方を掛け合わせたハイブリッドな「デュアルホワイトニング」をご提供。患者さんのご希望や歯の状態に最適な方法で、安全かつ効果的に理想の口元へと導きます。

こんなお悩みはありませんか?
- 痛みを感じることなく白くしたい
- 歯の表面を削りたくない
- 短期間でキレイにしたい
- ホワイトニングしたいが通院する時間がない
ホワイトニングの種類
-
オフィスホワイトニング
当院で行うホワイトニングです。比較的高い濃度の薬剤を使用するため効果が出やすいです。施術時間は90分程度、1日で終了することができます。ホームホワイトニングに比べると後戻りが早く知覚過敏が生じやすいです。

-
ホームホワイトニング
自宅で行うホワイトニングです。マウスピースを作成して1日1〜2時間ほど自身でホワイトニングを行なってもらいます。薬剤の濃度は低いので安全ですが、効果が現れるのに時間がかかります。時間がかる分後戻りも遅いというメリットがあります。

-
デュアルホワイトニング
オフィスホワイトニングとホームホワイトニングを併用した最も漂白効果が高い方法です。オフィスホワイトニングとホームホワイトニングを交互に行い1クール約3ヶ月行います。高いレベルの白さを求める方にお勧めです。

ホワイトニングのメリット・デメリット
メリット
-
①魅力的な笑顔になる
ホワイトニングでは歯の本来の色よりも白くするため、見た目の印象を向上させられます。
人の歯の色は個人差があっても、やや黄色味があるのが特徴です。
ホワイトニングでは黄色味がある歯を白くするため、清潔感が出て健康的に見えます。
歯が白くなる効果は口元だけでなく、お顔全体にもおよび、顔が明るくなって魅力的な笑顔となります。
自分に自信を持つことができ、人と会うこと、話すことが楽しくなります。 -
②短期間で歯を白くすることができる
ホワイトニング方法によって多少の差はありますが、比較的短時間で歯を白くできるのもメリットの1つです。
オフィスホワイトニングは2〜3回ほどの施術を行うと効果が最も発揮されますが、1回の施術でも効果を感じられます。
対してホームホワイトニングは毎日2時間程度行うことで、2〜3週間ほどで歯を白くできます。
どちらの方法も、歯を削ることなく短期間で効果を感じられます。 -
③むし歯予防にもつながる
ホワイトニングがむし歯予防にもつながるといわれる理由は以下の3つです。
•ホワイトニング前に徹底的な歯のクリーニングを行うため
•ホワイトニング後はフッ素の取り込み量が増えるため
•オフィスホワイトニング後は歯の表面のカルシウム密度が高まるため
ホワイトニングの効果を最大限に発揮させるためには、歯のクリーニングが必要です。
そのため、事前に診察し、徹底的なクリーニングを行います。
ホワイトニング後の歯は、むし歯菌が出す酸に強いフッ素を取り込む量が増えたり、カルシウムの再沈着が起こったりすることが分かっています。
デメリット
-
①希望の白さになるまで複数回の施術が必要になる場合がある
ご希望の白さになるまで、複数回の施術が必要になる場合があります。
効果の現れ方には個人差があり、早く白くなる方となかなか白くならない方がいらっしゃいます。多くの方には良好な結果が得られますが、歯の質、変色の原因、及びその程度に個人差があるためです。 -
②天然歯以外には効果がない
ホワイトニングの対象となるのは天然歯だけで、それ以外の歯、人工の歯には効果がありません。
-
③色戻りすることがある
1回の施術で歯が白くなっても、その後の生活習慣により色戻りしてしまう場合があります。
ただ、低濃度のホワイトニング剤でゆっくり確実に白くしていくホームホワイトニング、またオフィスホワイトニングとホームホワイトニングを併用するデュアルホワイトニングは、色戻りが起こりにくいです。 -
④知覚過敏症状がでることがあります
ほとんどの方が一時的ではありますが、薬剤が歯に染み込む際に知覚過敏の症状が起こる場合があります。もし症状が強くでた場合は中断やしみ止めを塗って対応するこができます。また、お家で使用できる知覚過敏ケア用品も取り揃えておりますの不安な方もご相談ください。
注意事項
- ホワイトニングは自費診療となります。
- 次のような症例はホワイトニング適応外です
- ・ホワイトニング禁忌の方
・無カタラーゼ症の方
・妊娠中、授乳中の女性
・小児
・歯科治療で用いる材料にアレルギーのある方
・健全でない歯(むし歯等)
・知覚過敏を有している方
・重篤な歯肉炎、歯周炎
・歯の詰め物が破損している場合
・被せ物の歯
当院のホワイトニングの特徴
ホワイトニングコーディネーターが在籍
ホワイトニングコーディネーターとは、歯科衛生士が取得できる日本審美歯科学会が認定している資格です。歯科審美学やホワイトニングについて専門的な知識をもっているため、審美的なお悩みをもった患者様へ、正しい理論に基づいた、安心・安全な施術をより高いレベルで提供することができます。
当院では2名の常勤歯科衛生士がホワイトニングコーディネーターを取得しています。
審美やホワイトニングに対してお気軽にご相談下さい。
デュアルホワイトニングの流れ
STEP
01
マウスピース作成
STEP
02
ホームホワイトニング1回目
2~3週間
STEP
03
オフィスホワイトニング1回目
STEP
04
ホームホワイトニング2回目
2~3週間
STEP
05
オフィスホワイトニング2回目
STEP
06
ホームホワイトニング3回目
2~3週間
STEP
07
オフィスホワイトニング3回目
※目標の白さに達したら途中で終了することも可能です。
※結婚式などの都合に応じて先にオフィスホワイトニングを行うことも可能です。
デュアルホワイトニング


| 主訴 | 歯を白くしたい しっかり笑いたい |
| 治療内容 | デュアルホワイトニング |
| 治療回数 | オフィスホワイトニング3回+ホームホワイトニング6週 |
| 治療費用 | 110,000円 |
| 想定される副作用 |
天然歯以外(詰め物や被せ物)には効果がありません 色戻りすることがあります 一時的ですが知覚過敏症状がでることがあります |
オフィスホワイトニング


| 主訴 | 歯を白くしたい |
| 治療内容 | オフィスホワイトニング |
| 治療回数 | 2回 |
| 治療費用 | 38,500円(1回目のみ) 2回目(施術後〜6ヶ月以内)22,000円 |
| 想定される副作用 |
天然歯以外(詰め物や被せ物)には効果がありません 色戻りすることがあります 一時的ですが知覚過敏症状がでることがあります |
ホームホワイトニング


| 主訴 | 笑顔を綺麗に見せたい |
| 治療内容 | ホームホワイトニング |
| 治療回数 | 型取り1回 ホームホワイトニング2週間 |
| 治療費用 | 33,000円 |
| 想定される副作用 |
天然歯以外(詰め物や被せ物)には効果がありません 色戻りすることがあります 一時的ですが知覚過敏症状がでることがあります |
白さを長持ちさせるためのケア
ホワイトニングで手に入れた歯の白さを長く保つ秘訣は、治療後の少しの意識と日々の習慣にあります。
例えば、カレー、コーヒー、赤ワイン、醤油など着色しやすい食材を口にした時にはできるだけ早く歯を磨く(または口をゆすぐ)習慣を身につけることはとても良いケア。ホワイトニング効果のある歯磨き粉を併用するのも白さの維持に役立ちます。
そして、歯科医院での定期的なクリーニングも欠かせません。セルフケアでは落としきれない表面の汚れをリセットすることでホワイトニング効果が長持ちします。
ホワイトニングの費用
ホワイトニングは自費診療となります。
| 名称 | 税込価格 |
| デュアルホワイトニング 3クール | ¥110,000 |
| デュアルホワイトニング 4クール以降ジェル込み | ¥22,000 |
| ホームホワイトニング | ¥33,000 |
| オフィスホワイトニング | ¥38,500 |
| オフィスホワイトニング 2回目以降 | ¥22,000 |
| ICON(アイコン) | ¥33,000 |
ララピール
第4世代ピーリング

こんなお悩みありませんか?
- 最近肌にツヤがなくなってきた
- 毛穴や皮脂汚れが気になる
- シミや肝斑が気になる
- ダウンタイムのない肌施術を受けたい
ララピール(LHALALA PEEL)は、美容大国韓国で開発された第4世代の革新的なピーリング施術です。従来のピーリングが「剥がす(Peeling)」ことを目的としていたのに対し、ララピールは「満たす(Filling)」という全く新しいコンセプトで肌にアプローチすることで、肌を剥離させずに内側から肌の再生を促すため施術後のダウンタイムがほとんどなく日常生活に支障をきたしにくいと言われています。

一箇所で整う、トータルケア
歯科治療やホワイトニングとあわせて、ララピールも同時にご予約いただけます。
美容クリニックと歯科医院それぞれでご予約いただく必要がなく、一箇所でスムーズに施術をお受けいただけます。
通院の負担を抑えながら、口元と肌の美しさをトータルで整えます。
ララピールの成分:LHA・P-sol・Lipids
-
LHA(リポヒドロキシ酸)
サリチル酸誘導体の一種で、肌への浸透が穏やかで刺激が少ないのが特徴です。
古い角質や毛穴の汚れを優しく除去し、肌のターンオーバーを正常化するのを助けます。 -
P-sol(P-ソリューション)
天然植物エキスをベースとした成分で、抗炎症作用や鎮静作用が期待できます。
ピーリングによる肌への負担を和らげ、施術後の肌トラブルを抑える役割を果たします。 -
Lipids(脂質)
肌のバリア機能を構成する重要な成分です。
施術中に肌に潤いを与え、バリア機能を強化することで、肌の乾燥や刺激から守ります。
施術の流れ
STEP 01
施術前にクレンジングをご自身でしていただきます。
※クレンジングは当院でご用意しておりますが、気になられる方はご持参をお願いします。
STEP 02
マイクロバブル洗顔でお肌を清潔にします。
STEP 03
専用ブラシでララピールベーシック(1剤)を塗布
ララピールウルトラ(2剤)で皮膚深層にアプローチします。
STEP 04
パックマスクで保湿します。
STEP 05
最後に保湿クリームを塗布します。
※日焼け止めクリームは当院でご用意しておりますが、気になられる方はご持参をお願いします。
STEP 06
終了
施術時間は40分程度
-
効果
ニキビや吹き出物などの抑制
肌の弾力やハリの向上
しみや肝斑、くすみの改善
小じわや乾燥の改善
くすみの除去による肌のトーンアップ
毛穴の開きや汚れの解消
-
副作用
ほとんどありませんが人によっては、一時的に赤みや乾燥、かゆみ、ひりつき、違和感のような症状が出る場合がございます。

プラン・コース
| ララピール | |
| 通常価格 | ¥14,300 |
| 特別価格 | ¥9,900 |
※特別価格は当院に通院中の方が対象です。
回数券
| 名称 | 税込価格 |
| 3回コース | ¥28,710 |
| 6回コース | ¥56,100 |
| 10回コース | ¥90,200 |
続けて6回程度施術を行うと効果が持続しやすいと推奨されているため、
回数券で購入することをお勧めしております。
禁忌事項
- 妊娠中・授乳中・産後2ヶ月以内の方
- お医者様からエステ施術を止められている方
- 2週間以内にピーリング施術を受けた部位
- 手術/美容整形を予定されている方
上記の条件に該当される患者様は施術をお断りさせていただきます。
デンタルエステ 表情筋エステ(EMS)
「表情筋」を解きほぐしながら鍛えることで普段なかなか使わない筋肉にアプローチすることでお顔を内側からキュッと引き締めることが出来ます。
またマッサージ効果はリンパの流れや血流の流れを促進し、くすみや肌
質の改善効果も期待できるとされています。

EMSが表情を鍛える!
EMSによる電気刺激で、普段使いにくい表情筋を効率よく動かし、リフトアップや引き締め効果が期待できます。
さらに歯科の観点からも重要なのが、「食いしばり」による筋肉の緊張です。
日常的に歯を強く噛みしめるクセ(食いしばり)は、咬筋(こうきん)と呼ばれるエラ部分の筋肉を過剰に使うことで、通院の負担を抑えながら、口元と肌の美しさをトータルで整えます。
・フェイスラインの張り
・エラの発達による顔の大きさの変化
・ほうれい線やたるみの原因
・肩こり・頭痛・首のハリ
など、見た目だけでなく全身の不調にもつながります。
EMSによって、食いしばりや歯ぎしりで硬くなった咬筋をやさしくほぐし、血流やリンパの流れを促進。むくみ・たるみ・エラ張りの改善、小顔効果が期待できるほか、口元の緊張緩和にもつながります。
施術の流れ
STEP 01
施術前にクレンジングと洗顔を行っていただきます
※当院でご用意しておりますが、気になられる方はご持参をお願いしております
STEP 02
お肌の状態や体感に合わせてレベルを調整し施術いたします

-
施術時間
10分~15分程度です
-
効果
顎関節症の緩和
頭痛の軽減
シワやフェイスラインの改善
たるみの改善やリストアップ・小顔ケア
目の下のたるみやクマの改善
美容液の浸透を高め健やかな肌質への改善
色むらや肌くすみの改善
- 1度の施術後に効果を確認することができる場合が多いですが、1度の施術では効果を持続させることはできません。
定期的に複数回の施術を受けることで少しずつ改善・定着していきます。 - 施術の際に、低周波によって表情筋を動かしますので多少痛みを感じる場合があります。
- 多少の赤みがでる場合もありますが、数時間または翌日には改善されます。
- メイクはフェイシャル施術後すぐに可能です。
コース・プラン
| EMS筋膜リフト | |
| 通常価格 | ¥7,700 |
| 通院中の方の価格 | ¥4,400 |
注意事項
- アレルギー体質の方や皮膚に疾患がある方
- 妊娠中・授乳中の方
- 癌などの治療中の方やペースメーカー・薬を服用中の方
- ニキビや吹き出物がある方
- 顔や首に傷がある方
- ヒアルロン酸注入・金の糸など美容整形を受けた方
- 顔や首に金属製のものが入っている方(歯の治療痕は除く)
上記該当がある方はEMS使用をお断りしております。